Caspase 3 Polyclonal Antibody
Clonality: Polyclonal
Host: Rabbit
Reactivity: Human, Mouse, Rat
Application: IF, WB, IHC-p, IF, ELISA, TR-FLISA, TR-FRET
Storage: -20°C for 1 year
Conjugation with Bright-Dtech™ on request
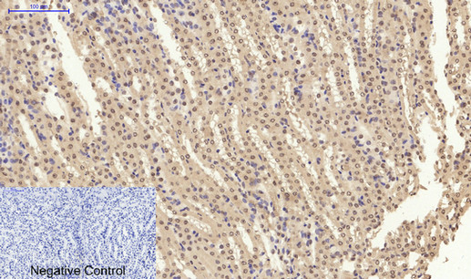
![]()
Description
Data sheet Cascade 3 Polyoclonal Antibody
Background:CASP3 encodes a protein which is a member of the cysteine-aspartic acid protease (caspase) family. Sequential activation of caspases plays a central role in the execution-phase of cell apoptosis. Caspases exist as inactive proenzymes which undergo proteolytic processing at conserved aspartic residues to produce two subunits, large and small, that dimerize to form the active enzyme. This protein (caspase 3) cleaves and activates caspases 6, 7 and 9, and the protein itself is processed by caspases 8, 9 and 10. It is the predominant caspase involved in the cleavage of amyloid-beta 4A precursor protein, which is associated with neuronal death in Alzheimer’s disease. Alternative splicing of this gene results in two transcript variants that encode the same protein.
Purification: Affinity-purified from rabbit antiserum by affinity-chromatography using epitope-specific immunogen.
Concentration: 1 mg/ml
Formulation: Liquid in PBS containing 50% glycerol, 0.5% BSA and 0.02% sodium azide.
Molecular weight:31608
Gene ID: Human: 836; Mouse: 12367; Rat: 25402
Synonyms: CASP3; CPP32; Caspase-3; CASP-3; Apopain; Cysteine protease CPP32; CPP-32; Protein Yama; SREBP cleavage activity 1; SCA-1
Research area: Cell Biology
Target protein: ICASP3
Additional information
| Weight | 0.7 kg |
|---|---|
| Dimensions | 14 × 15 × 11 cm |
| Size | 20 μL, 50 μL, 100 μL |














